What Is Parapharyngeal Abscess . Web a parapharyngeal abscess is a deep neck abscess. Web parapharyngeal abscess is the second most common deep neck abscess after peritonsillar abscess. Symptoms include fever, sore throat, odynophagia, and swelling in the neck down. Web a parapharyngeal abscess is a painful collection of pus found within the deep neck space known as the parapharyngeal. Web a parapharyngeal abscess is a deep neck abscess. Web parapharyngeal abscesses are deep neck abscesses involving the parapharyngeal space. It is a serious medical condition, potentially fatal, and. Symptoms include fever, sore throat, odynophagia, and swelling in the neck down. The diagnosis is both clinical and. Web parapharyngeal abscess (ppa) refers to a collection of pus located laterally or posteriorly to the pharyngeal constrictor.
from www.researchgate.net
Symptoms include fever, sore throat, odynophagia, and swelling in the neck down. Web parapharyngeal abscess (ppa) refers to a collection of pus located laterally or posteriorly to the pharyngeal constrictor. Web parapharyngeal abscess is the second most common deep neck abscess after peritonsillar abscess. Symptoms include fever, sore throat, odynophagia, and swelling in the neck down. Web a parapharyngeal abscess is a deep neck abscess. Web a parapharyngeal abscess is a painful collection of pus found within the deep neck space known as the parapharyngeal. Web a parapharyngeal abscess is a deep neck abscess. Web parapharyngeal abscesses are deep neck abscesses involving the parapharyngeal space. It is a serious medical condition, potentially fatal, and. The diagnosis is both clinical and.
Parapharyngeal abscess, CT scan, coronal projection. Download
What Is Parapharyngeal Abscess Web a parapharyngeal abscess is a deep neck abscess. Symptoms include fever, sore throat, odynophagia, and swelling in the neck down. Web parapharyngeal abscess (ppa) refers to a collection of pus located laterally or posteriorly to the pharyngeal constrictor. The diagnosis is both clinical and. Web a parapharyngeal abscess is a deep neck abscess. Symptoms include fever, sore throat, odynophagia, and swelling in the neck down. Web a parapharyngeal abscess is a deep neck abscess. Web a parapharyngeal abscess is a painful collection of pus found within the deep neck space known as the parapharyngeal. Web parapharyngeal abscess is the second most common deep neck abscess after peritonsillar abscess. Web parapharyngeal abscesses are deep neck abscesses involving the parapharyngeal space. It is a serious medical condition, potentially fatal, and.
From www.slideshare.net
Surgical treatment of paraphyrngeal and retropharyngeal abscesses What Is Parapharyngeal Abscess Web parapharyngeal abscess (ppa) refers to a collection of pus located laterally or posteriorly to the pharyngeal constrictor. The diagnosis is both clinical and. It is a serious medical condition, potentially fatal, and. Web a parapharyngeal abscess is a deep neck abscess. Web parapharyngeal abscess is the second most common deep neck abscess after peritonsillar abscess. Web parapharyngeal abscesses are. What Is Parapharyngeal Abscess.
From www.researchgate.net
Parapharyngeal abscess, CT scan, coronal projection. Download What Is Parapharyngeal Abscess Web a parapharyngeal abscess is a deep neck abscess. It is a serious medical condition, potentially fatal, and. Web a parapharyngeal abscess is a deep neck abscess. Web a parapharyngeal abscess is a painful collection of pus found within the deep neck space known as the parapharyngeal. Web parapharyngeal abscesses are deep neck abscesses involving the parapharyngeal space. Web parapharyngeal. What Is Parapharyngeal Abscess.
From www.animalia-life.club
Parapharyngeal Space Abscess What Is Parapharyngeal Abscess Web parapharyngeal abscess (ppa) refers to a collection of pus located laterally or posteriorly to the pharyngeal constrictor. It is a serious medical condition, potentially fatal, and. Web parapharyngeal abscesses are deep neck abscesses involving the parapharyngeal space. Symptoms include fever, sore throat, odynophagia, and swelling in the neck down. Web a parapharyngeal abscess is a painful collection of pus. What Is Parapharyngeal Abscess.
From www.slideserve.com
PPT Infection of pharyngeal spaces PowerPoint Presentation, free What Is Parapharyngeal Abscess The diagnosis is both clinical and. It is a serious medical condition, potentially fatal, and. Symptoms include fever, sore throat, odynophagia, and swelling in the neck down. Web a parapharyngeal abscess is a deep neck abscess. Web a parapharyngeal abscess is a deep neck abscess. Web parapharyngeal abscesses are deep neck abscesses involving the parapharyngeal space. Web parapharyngeal abscess (ppa). What Is Parapharyngeal Abscess.
From casereports.bmj.com
Severe parapharyngeal abscess that developed significant complications What Is Parapharyngeal Abscess Web parapharyngeal abscesses are deep neck abscesses involving the parapharyngeal space. Web parapharyngeal abscess (ppa) refers to a collection of pus located laterally or posteriorly to the pharyngeal constrictor. Web parapharyngeal abscess is the second most common deep neck abscess after peritonsillar abscess. Web a parapharyngeal abscess is a deep neck abscess. Web a parapharyngeal abscess is a painful collection. What Is Parapharyngeal Abscess.
From www.pinterest.com
Pediatric Retropharyngeal Abscess Pediatrics, Board exam, Anatomy What Is Parapharyngeal Abscess Web parapharyngeal abscess is the second most common deep neck abscess after peritonsillar abscess. Web a parapharyngeal abscess is a deep neck abscess. It is a serious medical condition, potentially fatal, and. Web parapharyngeal abscesses are deep neck abscesses involving the parapharyngeal space. Symptoms include fever, sore throat, odynophagia, and swelling in the neck down. Symptoms include fever, sore throat,. What Is Parapharyngeal Abscess.
From www.slideserve.com
PPT Pediatric Respiratory Emergencies PowerPoint Presentation ID What Is Parapharyngeal Abscess Web parapharyngeal abscesses are deep neck abscesses involving the parapharyngeal space. Web parapharyngeal abscess is the second most common deep neck abscess after peritonsillar abscess. Web a parapharyngeal abscess is a deep neck abscess. Web a parapharyngeal abscess is a painful collection of pus found within the deep neck space known as the parapharyngeal. It is a serious medical condition,. What Is Parapharyngeal Abscess.
From www.youtube.com
171.Parapharyngeal Abscess surgeryeducation shortnotes What Is Parapharyngeal Abscess Web parapharyngeal abscesses are deep neck abscesses involving the parapharyngeal space. Symptoms include fever, sore throat, odynophagia, and swelling in the neck down. Web a parapharyngeal abscess is a deep neck abscess. Web a parapharyngeal abscess is a painful collection of pus found within the deep neck space known as the parapharyngeal. Web parapharyngeal abscess (ppa) refers to a collection. What Is Parapharyngeal Abscess.
From www.youtube.com
Parapharyngeal & Retropharyngeal Abscess YouTube What Is Parapharyngeal Abscess Web a parapharyngeal abscess is a deep neck abscess. Symptoms include fever, sore throat, odynophagia, and swelling in the neck down. Web parapharyngeal abscess is the second most common deep neck abscess after peritonsillar abscess. Web parapharyngeal abscess (ppa) refers to a collection of pus located laterally or posteriorly to the pharyngeal constrictor. It is a serious medical condition, potentially. What Is Parapharyngeal Abscess.
From www.researchgate.net
Parapharyngeal abscess, CT scan, axial projection. Download What Is Parapharyngeal Abscess Symptoms include fever, sore throat, odynophagia, and swelling in the neck down. Web a parapharyngeal abscess is a painful collection of pus found within the deep neck space known as the parapharyngeal. Symptoms include fever, sore throat, odynophagia, and swelling in the neck down. Web parapharyngeal abscesses are deep neck abscesses involving the parapharyngeal space. The diagnosis is both clinical. What Is Parapharyngeal Abscess.
From www.slideshare.net
Surgical treatment of paraphyrngeal and retropharyngeal abscesses What Is Parapharyngeal Abscess It is a serious medical condition, potentially fatal, and. Web a parapharyngeal abscess is a deep neck abscess. Symptoms include fever, sore throat, odynophagia, and swelling in the neck down. Web a parapharyngeal abscess is a painful collection of pus found within the deep neck space known as the parapharyngeal. Web parapharyngeal abscesses are deep neck abscesses involving the parapharyngeal. What Is Parapharyngeal Abscess.
From quizlet.com
Peritonsillar abscess Diagram Quizlet What Is Parapharyngeal Abscess The diagnosis is both clinical and. Web parapharyngeal abscesses are deep neck abscesses involving the parapharyngeal space. Web parapharyngeal abscess (ppa) refers to a collection of pus located laterally or posteriorly to the pharyngeal constrictor. Web a parapharyngeal abscess is a painful collection of pus found within the deep neck space known as the parapharyngeal. Symptoms include fever, sore throat,. What Is Parapharyngeal Abscess.
From www.researchgate.net
CT scan of head axial view showing right parapharyngeal abscess What Is Parapharyngeal Abscess Web a parapharyngeal abscess is a deep neck abscess. The diagnosis is both clinical and. Web parapharyngeal abscesses are deep neck abscesses involving the parapharyngeal space. Web a parapharyngeal abscess is a deep neck abscess. Web parapharyngeal abscess (ppa) refers to a collection of pus located laterally or posteriorly to the pharyngeal constrictor. Symptoms include fever, sore throat, odynophagia, and. What Is Parapharyngeal Abscess.
From www.animalia-life.club
Parapharyngeal Space Abscess What Is Parapharyngeal Abscess Web parapharyngeal abscesses are deep neck abscesses involving the parapharyngeal space. It is a serious medical condition, potentially fatal, and. Web a parapharyngeal abscess is a painful collection of pus found within the deep neck space known as the parapharyngeal. Web parapharyngeal abscess is the second most common deep neck abscess after peritonsillar abscess. Symptoms include fever, sore throat, odynophagia,. What Is Parapharyngeal Abscess.
From www.animalia-life.club
Parapharyngeal Space Abscess What Is Parapharyngeal Abscess Web parapharyngeal abscess (ppa) refers to a collection of pus located laterally or posteriorly to the pharyngeal constrictor. It is a serious medical condition, potentially fatal, and. Web parapharyngeal abscess is the second most common deep neck abscess after peritonsillar abscess. The diagnosis is both clinical and. Web a parapharyngeal abscess is a deep neck abscess. Symptoms include fever, sore. What Is Parapharyngeal Abscess.
From www.slideserve.com
PPT Infection of pharyngeal spaces PowerPoint Presentation, free What Is Parapharyngeal Abscess Symptoms include fever, sore throat, odynophagia, and swelling in the neck down. It is a serious medical condition, potentially fatal, and. Web a parapharyngeal abscess is a deep neck abscess. Web parapharyngeal abscesses are deep neck abscesses involving the parapharyngeal space. Web parapharyngeal abscess is the second most common deep neck abscess after peritonsillar abscess. Symptoms include fever, sore throat,. What Is Parapharyngeal Abscess.
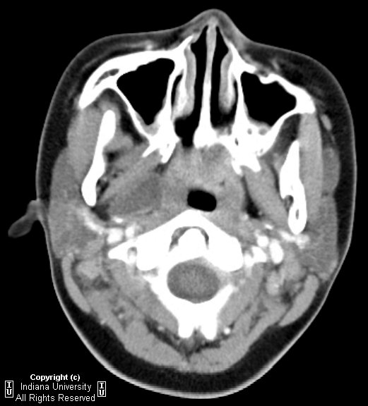
From neuroradiologyonthenet.blogspot.com
Neuroradiology On the Net Parapharyngeal abscess What Is Parapharyngeal Abscess Web parapharyngeal abscesses are deep neck abscesses involving the parapharyngeal space. Web parapharyngeal abscess (ppa) refers to a collection of pus located laterally or posteriorly to the pharyngeal constrictor. Symptoms include fever, sore throat, odynophagia, and swelling in the neck down. Web a parapharyngeal abscess is a painful collection of pus found within the deep neck space known as the. What Is Parapharyngeal Abscess.
From www.animalia-life.club
Parapharyngeal Space Abscess What Is Parapharyngeal Abscess Web a parapharyngeal abscess is a painful collection of pus found within the deep neck space known as the parapharyngeal. Web a parapharyngeal abscess is a deep neck abscess. It is a serious medical condition, potentially fatal, and. Web parapharyngeal abscesses are deep neck abscesses involving the parapharyngeal space. Web parapharyngeal abscess (ppa) refers to a collection of pus located. What Is Parapharyngeal Abscess.